Text-to-image finetuning - yurman/mri_full_512_v2_base
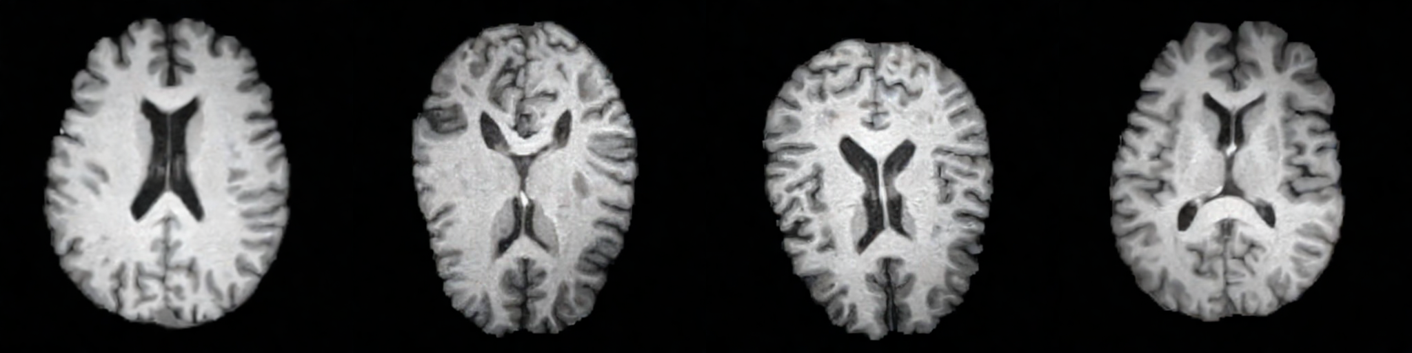
This pipeline was finetuned from stabilityai/stable-diffusion-2-base on the OASIS-3 dataset for brain image generation. Below are some example images generated with the finetuned pipeline:
Pipeline usage
You can use the pipeline like so:
from diffusers import DiffusionPipeline
import torch
pipeline = DiffusionPipeline.from_pretrained("yurman/mri_full_512_v2_base", torch_dtype=torch.float16)
prompt = "An empty, flat black image with a MRI brain axial scan in the center"
image = pipeline(prompt).images[0]
image.save("my_image.png")
Training info
These are the key hyperparameters used during training:
- Epochs: 6
- Learning rate: 0.0001
- embeds rate: 0.0001
- Batch size: 8
- Gradient accumulation steps: 4
- Image resolution: 512
- Mixed-precision: None
- Downloads last month
- -
Model tree for yurman/mri_full_512_v2_base
Base model
stabilityai/stable-diffusion-2-base